Growing up, all of us wished that we would be taller than the average height. But sometimes due to genes and the environment we grew up in, that wish doesn’t come true.
While it’s seen to be a minor issue, it can greatly bother those with low self-esteem as they may view themselves as less adequate.

‘Doctor, I wish I was taller’
A doctor named Rashdan Mohamed recently took to Facebook to share an encounter her had with a 17-year-old teenage boy who confided to him about his short stature during a clinic visit.
According to the doctor, the teen was smart, handsome, and a sporty person who was a football player. However, his height deeply troubled him and caused him to feel inferior.
To make matters worse, he was even rejected by a female crush who opted for a taller guy over him.

Checkup showed below average height growth
Wanting to find out whether the teen was stunted in his growth, Rashdan performed a full body checkup on him.
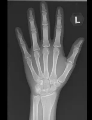
He also conducted an X-ray examination of his left hand to measure the level of his bone maturity.
The X-ray showed that it had reached full maturity and that it was impossible for him to pursue growth hormone treatment.
“I also predicted his adult height and found that it was below average. Unfortunately, it’s too late to do anything about it now,” he wrote.

Gave teen advice on lifestyle
Rashdan then broke the news to the teen about him probably not being able to grow taller, to which he sadly replied, “Does that mean I can’t get taller anymore?”
“I told him that there might be a slight chance for some additional growth, but reaching 164cm or 170 cm was unlikely.
“I also gave him some advice such as maintaining a healthy and nutritious diet, sleeping 8-9 hours a day, and exercising regularly,” he wrote.

Knowing that the news devastated the teen, Rashdan comforted him by giving him a hug and a warm smile.
I told him, ‘You’re smart and handsome. Study hard. Play sports well. God willing, you will succeed. Don’t worry about that girl rejecting you. Consider it a lost opportunity and a learning experience.’
Read the post here:
To all those who think you’re not enough due to your height, just be yourself and hold your head up high!
READ ALSO:

